العربية
русский
中文
Español
Sign In
العربية
русский
中文
Español
Sign In
Choose Specialty:
-- All Specialties --
Addiction Treatment
Aesthetics non surgical
Anesthesiology
Bariatric Surgery
Bone Marrow Transplant
Cancer Treatment
Cardiac Surgery
Cardiology
Cosmetic Surgery
Dental Care
Dermatology
Dialysis
Ear Nose and Throat
Emergency Medicine
Endocrinology
Eye Surgery
Family Medicine
Fertility Treatment
Gastroenterology
General Medicine
General Surgery
Geriatrics
Hair Transplant
Hematology
Hyperbaric Therapy
Imaging
Immunology
Infectious Diseases
Internal Medicine
Medical Check Ups
Neonatology
Nephrology
Neurology
Neurosurgery
Ob-Gyn
Orthopedic Surgery
Pathology
Pediatrics
Psychiatry
Pulmonology
Rehabilitation
Rheumatology
Sports Medicine
Stem Cell Therapy
Urology
Vascular Surgery
-- All Countries --
Albania
Argentina
Austria
Brazil
China
Colombia
Costa Rica
Croatia
Cyprus
France
Georgia
Germany
Greece
Guatemala
Hungary
India
Israel
Italy
Jordan
Lithuania
Macedonia
Malaysia
Malta
Mexico
Panama
Peru
Philippines
Poland
Portugal
Romania
Russia
Singapore
South Africa
South Korea
Spain
Switzerland
Thailand
Turkey
Ukraine
United Arab Emirates
United Kingdom
--------------
Asia
Latin America
Europe
Middle East
Search Medical Centers
Medical Tourism
>
Implant Eladent
>
Before-after
Implant Eladent
Location
Bucharest, Romania
Contact Hospital
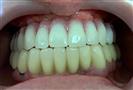
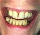
Before After Gallery - Implant Eladent
All on 6 implants – upper jaw - Implant Eladent
Before
After
Disclaimer:
The data provided in this page was provided by Implant Eladent or it's represetatives. last updated on Dec 13, 2022.
Please read our
disclaimer
. If you have found any errors or missing data, please
inform us
.
Overview
Photo gallery
Videos
Prices
Before-after
Location
Quick Links
Home
Advertising
Guide
How it Works
A Real Patient Case
Destinations
Information
Resources
Privacy
Terms of use
Disclaimer
About
Contact us
Featured Cities
Bangalore
Bangkok
Barcelona
Buenos Aires
Chennai
Chiang Mai
Gurgaon
Istanbul
Jerusalem
Kolkata
Kuala Lumpur
Madrid
Manila
Medellin
Featured Cities
Melaka
Mumbai
New Delhi
Petaling Jaya
San Jose
Seoul
Tel Aviv
Tijuana
Heidelberg
Mohali
Athens
Porto
Lisbon
Paris
Featured Specialties
Cancer Treatment
Cardiac Surgery
Cosmetic Surgery
Fertility Treatment
Neurology
Orthopedic Surgery
View More Specialties
Social
Linkedin
Copyright © 2008 - 2026 Health-Tourism.com, All Rights Reserved